



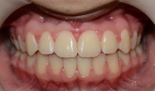
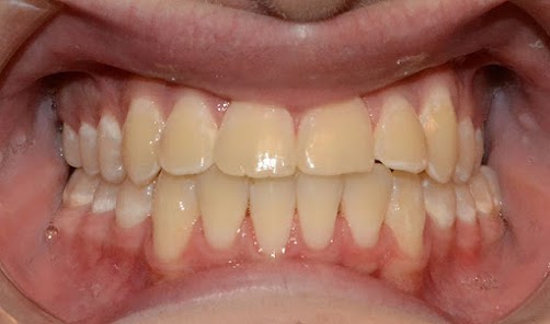
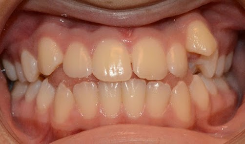
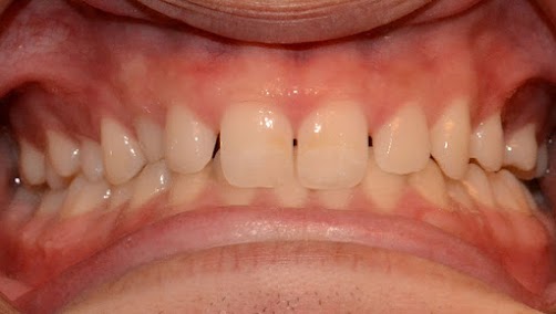
We warmly invite you to experience exceptional care at our practice. Our facility is designed with your comfort and convenience in mind, featuring modern amenities and a welcoming atmosphere. Our dedicated team is here to provide personalized attention and address all your needs with professionalism and compassion.